Publications
- Home
- Publications
- 5.Tumor Regression and Improved Survival in a Case of Stage IV Cholangiocarcinoma (Klatskin Tumor) Achieved by a Novel Nutritional Therapy
Related Articles
- 1.Cancer: a single disease with a multitude of manifestions?
- 2.The cancer stem cell: Evidence for its origin as an injured autoreactive T Cell
- 3.General Methods and Overviews, Lung Carcinoma and Prostate Carcinoma
- 4.Complete Remission Achieved in a Case of Both Primary and Recurrent Adult Acute Myelogeneous Leukemia by a Novel Nutritional Therapy
- 5.Tumor Regression and Improved Survival in a Case of Stage IV Cholangiocarcinoma (Klatskin Tumor) Achieved by a Novel Nutritional Therapy
- 6.Partial Tumor Regression and Resolution of Pleuritis Carcinomatosa and Atelectasis in an Inoperable Malignant Lung Carcinoma: Case Report
- 7.Tumor Regression in a Recurrent, Metastatic Squamous Cell Carcinoma of the Cervix: Case Report
- 8.Complete Remission in a Case of Colon Cancer Achieved by a Novel Nutritional Therapy
- 9.Tumor Regression in a Case of Stage IV Colon Carcinoma Achieved by a Novel Nutritional Therapy
- 10.Patients’ Abbreviated Case Data
Main Article
Publications
5.Tumor Regression and Improved Survival in a Case of Stage IV Cholangiocarcinoma (Klatskin Tumor) Achieved by a Novel Nutritional Therapy
Peter Grandics
A-D Research Foundation, 5922 Farnsworth Ct, Carlsbad, CA 92008, USA
Keywords: Hilar cholangiocarcinoma, tumor regression, nutritional therapy, MSQ 15 dietary supplements, molasses
Abstract
Objectives: Cholangiocarcinoma is a rapidly lethal cancer of the biliary system. The aim of this study was to determine the possible clinical benefit of the molasses-based MSQ 15D, 15E, and 15F dietary supplements in a case of Stage IV cholangiocarcinoma.
Design: Single case study. Settings/Location: Home.
Interventions: The regime of dietary supplements was administered as follows: all MSQ compositions, 2tbsp TID.
Outcome measures: Clinical improvement and regression of the tumor.
Conclusions: Treatment with the MSQ 15 formula resulted in tumor regression and clinical improvement. Therefore, this approach may provide a novel therapeutic modality for cholangiocarcinoma.
Introduction
Cholangiocarcinoma is a relatively rare but rapidly lethal cancer of the bile ducts.1 The etiology of the disease is unclear, but risk factors include inflammation of the bile ducts, parasitic infections, congenital liver abnormalities and exposure to mutagenic substances. The patients may present with abdominal pain, pruritus, abnormal liver function tests, jaundice, weight loss, and fever. Patients are frequently diagnosed at Stage III-IV, which is too late for tumor resection. Currently, the five-year survival rate for non-resectable disease is 0%, and less than 5% in general.
Treatment options for cholangiocarcinoma include surgery, radiation and various chemotherapy protocols.2 Total resection of the tumor is the only potential chance for a cure; however, this option is available only in cases of early-stage disease. Adjuvant chemotherapy and combined chemoradiotherapy appear to be ineffective. The mortality rate is very high, and disease progression is rapid. The overall median duration of survival is less than 6 months. Therefore, new therapeutic modalities are widely sought and needed.
Previously, we reported a case study using a novel diet-based method to treat a patient with acute myelogenous leukemia (AML).3 AML is another lethal cancer with a very low 5-year survival rate.4,5 The nutritional therapy was designed based on our analysis of dietary deficiencies that are commonly present in cancer patients, as well as new findings on the etiology of cancer that have identified a link between infections and the emergence of the cancer stem cell.6,7 These analyses led to the hypothesis that all cancers share a common initiation pathway, and would therefore benefit from a common therapeutic approach.8 Here, we report that this novel nutritional therapy produced tumor regression and clinical improvement in a case of cholangiocarcinoma.
Case report
A 79-year-old female presented with pruritus in the beginning of 2007 and was subsequently diagnosed with multiple drug allergies. However, the pruritus remained even after discontinuing the suspected medications. In mid-March 2007, elevated liver enzymes were detected (Alkaline phosphatase (AP): 1918 U/l, Gamma GT (GGT): 2471 U/l, while the transaminases GOT and GPT were 226 U/l and 82 U/l, respectively). Total bilirubin was 79.3µmol/l. ERCP exam described a constriction at the confluence of the left and right hepatic bile ducts. Subsequent computed tomography scan detected an ovoid, 1.5×2.5 cm tumor in the plane of the porta hepatis (Figure 1). Surgical exploration discovered a walnut-sized tumor at the confluence of the left and right hepatic bile ducts (Klatskin tumor). The tumor surrounded both the left and right hepatic ducts and on its left side infiltrated the liver. Cholecystectomy was subsequently performed. The tumor was deemed non-resectable. A stent was inserted into the constricted hepatic ducts.
In the beginning of April 2007, the patient began oral administration of the MSQ 15D dietary supplement, 2tbsp TID. In the middle of June 2007, liver function test demonstrated reduced levels of enzymes (AP: 1120 U/l, GGT: 437 U/l, GOT: 49 U/l; GPT: 22 U/l, Total bilirubin: 19 µmol/l). The CA 19-9 marker was 77 U/ml (also see Table 1). An abdominal computed tomography exam was subsequently performed that found no tumor around the porta hepatis (Figure 2).
In the middle of July 2007, liver function test demonstrated slightly reduced levels of liver enzymes and the CA 19-9 marker was also reduced (Table 1).
At the end of August 2007, liver function test demonstrated further decrease in the levels of liver enzymes but the CA 19-9 marker was slightly increased (Table 1).
In September, the patient presented with an infection of the urinary tract and was treated with antibiotics. At the end of September 2007, liver function test demonstrated an increase in the levels of liver enzymes while the CA 19-9 was not determined (Table 1). The urine contained large amounts of bacteria. We concluded that the elevation in the enzyme levels could have been triggered by the infection.
In the middle of October 2007, liver function test demonstrated an increase in the levels of liver enzymes while the CA 19-9 was not determined. As the patient complained about bone pain, a whole body isotope bone scan was performed that detected no skeletal metastases.
In the middle of November 2007, the therapeutic dietary formula was changed to MSQ 15E containing an additional 80ml of apple cider vinegar per quart (947ml). In mid- December 2007, liver function test demonstrated an increase in the levels of liver enzymes while the bilirubin and CA 19-9 marker values also increased (Table 1).
In the beginning of February 2008, liver function test demonstrated stabilized levels of liver enzymes with the exception of GGT. The CA 19-9 marker was further elevated (Table 1).
In the middle of March 2008, liver function test demonstrated stabilized levels of liver enzymes with the exception of GGT. Both the bilirubin and the CA 19-9 marker values were rising (Table 1).
In the beginning of June 2008, liver function test demonstrated stabilized levels of liver enzymes with the exception of GGT. The bilirubin was increasing while the CA 19-9 marker was not determined (Table 1).
In the beginning of July 2008, liver function test demonstrated stabilized or slightly reduced levels of liver enzymes and bilirubin. The CA 19-9 marker was 445.3 U/ml (Table 1). At the end of July 2008, an abdominal computed tomography test was performed. No tumor was detected in the abdomen. At that point the patient was switched to the MSQ 15F formula containing an additional 1 tsp of cayenne pepper, 1 tbsp of baking soda and 2tsp of apple cider vinegar per quart more the basic MSQ 15D formula. This was necessitated by the rise of the tumor marker CA 19-9, which suggested possible pancreatic involvement.
In the middle of August 2008, liver function test again demonstrated reduced levels of liver enzymes and a drop in the bilirubin level. CA 19-9 was not determined (Table 1). Bacterial level present in the urine was slightly elevated.
In the beginning of September 2008, liver function test again demonstrated elevated level of AP but the CA 19-9 level was reduced (Table 1).
In the middle of October 2008, liver function test again demonstrated elevated levels of liver enzymes and bilirubin. The CA 19-9 was not determined (Table 1).
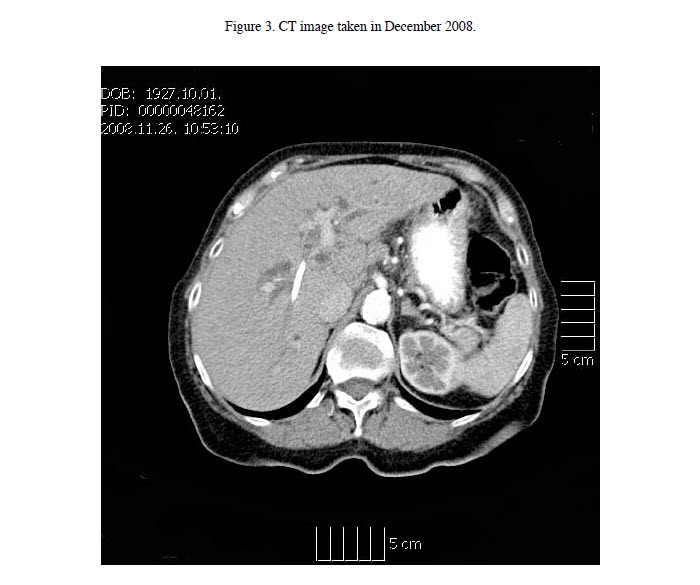
In the middle of November, an abdominal computed tomography scan found no tumor in the abdomen. An image taken in the plane of the porta hepatis is shown (Figure 3).
In the beginning of December 2008, liver function test again demonstrated stable levels of liver enzymes while the bilirubin was increasing. The CA 19-9 was not determined (Table 1). The patient was in a satisfactory overall physical condition throughout the therapy.
Discussion
This paper describes a nontoxic, nutrition-based therapy for a case of Stage IV hilar cholangiocarcinoma (Klatskin tumor). Cholangiocarcinoma is a rapidly lethal cancer of the bile ducts with an incidence of about 1-2 people per 100,000 in the Western world.9 The incidence of cholangiocarcinoma is rising worldwide.10 Main presentations include pruritus, fever, weight loss, abnormal liver function tests and jaundice. As cholangiocarcinoma is unresponsive to chemoradiotherapies, surgery remains the only viable therapeutic option, however, since patients commonly present at Stage III-IV when the tumor is already non-resectable, practical options for cholangiocarcinoma are very limited. This is why the 5-year survival of non-resectable cholangiocarcinoma is 0%.
The elderly patient in this case report was inoperable. With no therapeutic option available to her, she chose to take our novel nutritional cancer therapy, the principles of which have been published.6
We have found that nutrient deficiency of plant-derived phenolic compounds, folate and vitamin B12 as well as other B vitamins, essential lipids, iodine and several minerals correlate in a variety of cancers, and also increase their incidence. This correlation has led us to reexamine the role of nutrition, unifying perspectives on cancer and recasting it as a single disease, potentially treatable by a single protocol.
From this point of view, we hypothesized that supplementing deficient nutrients in cancer patients might reverse the course of their disease. In a previous case study with an AML patient, we demonstrated the therapeutic effectiveness of this approach.3
Recently, we analyzed links between infection, inflammation, and tumorigenesis, specifically examining how chronic infections and tissue inflammation could facilitate the formation of the cancer stem cell.7 Inflammation of the bile ducts as well as parasitic infections have been identified as causative to the development of cholangiocarcinoma.11-13
Phenolic polysaccharides from molasses used in the MSQ 15 dietary compositions are potent anti-inflammatory and anti-carcinogenic compounds and likely play an important role in suppressing the underlying causes of tumorigenesis.8 As the gut is a main point of entry of pathogens into the body, maintaining the health of the digestive system should be of major concern for both prevention and therapy.
This study demonstrates the result of our hypothesis in a case of a rapidly lethal cancer, hilar cholangiocarcinoma with an elderly patient. Administration of the MSQ 15D dietary composition led to regression of the tumor as demonstrated by computed tomography scans. The course of the disease is particularly interesting. The elevated liver function markers decreased over the first 5 months of the therapy during which time the tumor also regressed. Subsequent to a urinary tract infection, the markers began to rise. We have earlier found a link between infection and cancer, so it appeared that the infection triggered a reversal of the recovery process. Therefore, we decided to switch over to the more active MSQ 11E composition that contained additional apple cider vinegar, a natural antibiotic.
Over the subsequent 8 months we have seen the liver function markers stabilizing at the elevated levels. Of concern, however, was the rise of the tumor marker CA 19-9, suggesting potential pancreatic involvement. Therefore, we decided to switch to the MSQ 15F dietary composition containing increased apple cider vinegar, baking soda and cayenne pepper. This composition was originally developed for pancreatic adenocarcinoma, another rapidly lethal form of cancer.
The next testing in the middle of August 2008 demonstrated a reduction in liver function test markers. Subsequent tests until the end of December 2008 demonstrated somewhat fluctuating liver function test values. A computed tomography scan at the end of November 2008 found no tumor in the abdomen. It is possible that subsequent to tumor resolution, the continuation of elevated enzyme markers demonstrate a phase of this disease that was previously masked by the rapid expiration of patients. Therefore, long- term supplementation of patients could be necessary until enzyme levels return to normal.
Although the therapy of this patient is still ongoing, we believe it is important to report the case because of the regression of the tumor, as well as the relatively increased survival time of the patient. In a Stage IV, inoperable cholangiocarcinoma, typical patient survival is 1-2 months and we have already passed the 21 months mark with this patient, who was in a satisfactory physical condition throughout this time period.
This case study suggests that our novel nutritional therapy may prove to be an effective tool for the management of cholangiocarcinoma, and demonstrates the potential for a common therapeutic approach for cancer. Further studies are warranted to investigate the utility of this therapy in a larger population of patients.
References
You can find more information here:
https://cure4cancer.me/wp-content/uploads/2024/12/tumor-regression-case-report.pdf
